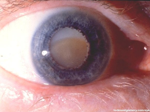
Morgagnian Cataract

Morgagnian Cataract
Close Window